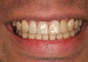
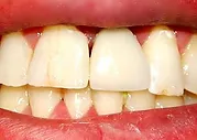
Explore our smile gallery to see how our talented dentist in Northridge, California, has helped patients improve their smiles! We invite you to call Kusuhara Family Dentistry today at 818-772-7720 to schedule your personal consultation with Dr. Karey Kusuhara and learn how our comprehensive dental services can benefit you. We look forward to helping you achieve a healthier, more beautiful smile!








